
Tired Eyes Don’t Define You Anymore
Brighten, lift, and smooth the delicate skin around your eyes — without injections, surgery, or recovery time. SmoothEye® by Fotona revives your natural beauty with gentle laser precision.
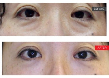
How Our Fotona SmoothEye®
Can Help You
Our non-invasive SmoothEye® laser treatment targets the delicate eye area to boost collagen,
firm sagging skin, and reduce lines—without surgery or injectables.

Upper Eyelid Lifting
Tighten loose upper eyelids and restore a lifted, youthful eye contour with targeted Er:YAG laser energy.

Under-Eye Wrinkle Reduction
Smooth fine lines, crow’s feet, and crepey skin under the eyes for a fresher, wide-awake look.

Sagging or Hooded Eyes
Improve skin firmness and elasticity around droopy eyes for a natural, subtle lift—no scalpel required.

Safe for All Skin Types
Gentle yet effective, SmoothEye® is safe for all skin tones and works beautifully on delicate under-eye areas.
Why Choose Illuminate Skin and Body
-
NSW’s First Certified FotonaClinic Provider
-
Recognised by Industry Leaders
-
Trusted and Highly Rated by Our Clients

What Makes SmoothEye® Unique?
- No injections or fillers
- Tightens skin naturally
- Stimulates new collagen growth
- Suitable for men and women
- No downtime or recovery
- Visibly smoother and firmer eye area
❤️A Little Thank You From Us❤️
Free Mystery Gift 🎁Upon Consultation – For A Limited Time
We’re here to help you restore your confidence — and now, we’re giving you a little more to smile about.
Book your FREE 30-minute consultation today and get a surprise gift.
Don’t miss this exclusive in-clinic offer!
What You Can Expect From Us
-
Straightforward Guidance
From day one, we’ll explain your options clearly and answer every question — so you’ll feel fully informed, confident, and comfortable at every step.
-
Advanced, Gentle Technology
We use world-class Fotona® lasers to deliver visible results without pain or healing time.
-
Tailored To You
Every scalp is different — so we don’t do one-size-fits-all. Your treatment plan is personalised to suit your hair type, pattern of loss, and long-term goals.